0

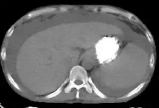
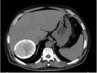
I am struggling in segmentation of images in matlab. My goal is to extract liver from ct scan images. This is sample image.

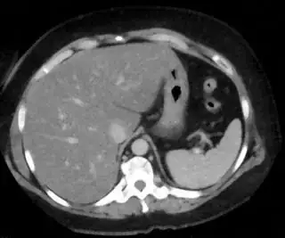
I extracted liver for this sample image and the output is like this Output image for sample image. My implementation code is

function [] = Code4( image_file )
image = imread(image_file);       
[height, width, planes] = size(image);
rgb = reshape(image, height, width * planes);
r = image(:, :, 1);             
g = image(:, :, 2);             
b = image(:, :, 3);             

% since r,g & b are of equeal values, we will be considering only r.

mask=r>120 & r<140 ;  % range of color component for liver
labels = bwlabel(mask);
id = labels(111, 200);

% get the mask containing only the desired object
liver = (labels == id);
imagesc(liver);
colorbar;

end

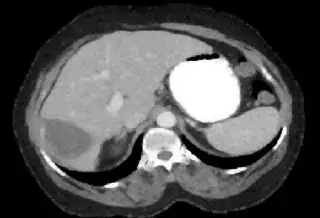
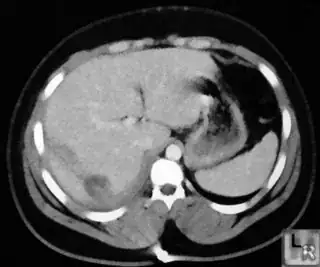
My problem is when I change image , rgb value of liver section may be different. Here is other sample image

Sample image 2.

For this image rgb value vary from 160 to 190 for each color component (r, g & b). Please help me to solve the problem.

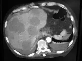
Here is other sample image with rgb range varying from 110 to 180 sample image 3.

Please help.

swapnil gandhi
  • 816
  • 1
  • 20
  • 38

1 Answers1

6

Without using fixed thresholds, you can try to cluster the image by gray levels. As a preprocessing step, I would suggest using morphological opening to make the difference of gray levels of the neighboring pixels small, so you have less noise in the clustered image.

Below I apply two successive morphological openings to the image using a 3x3 circular kernel, and then apply k-means clustering to the gray levels. From your sample images and some I found on the internet, I decided to set k = 4. If you are using high-resolution images, first downsample them to dimensions ~400-600. Otherwise the morphological operation may not have a significant effect, and the k-means will be slow.

Below are some of the opened and segmented images. Of course there's more to be done in terms of

  • separating out the liver region
  • generalizing this to a large dataset

but hope this is at least a starting point.

I don't have matlab, so the code is in c++ and opencv, but the conversion should be simple as it involves only morphological and clustering operations, it should be somewhat similar to this.

Update You might be able to narrow down the region or interest by filtering out the darkest and the lightest regions from the segmented image. For this, use the k-means cluster centers, check for the extreme values (max and min) and remove the corresponding k values from the labeled image. Then you can look for large structures to the left of the result image. Worst case, you might get a hole on the left side when the extreme region filtering goes wrong. I've updated the code and results.

1 2 4 5 6 7 8 9 10 11 12 13 14 15

opencv c++ code

// load image as gray scale
Mat im = imread("5.jpg", 0);
// morphological opening
Mat kernel = getStructuringElement(MORPH_ELLIPSE, Size(3, 3));
Mat morph;
morphologyEx(im, morph, CV_MOP_OPEN, kernel, Point(-1, -1), 2);
// clustering
int k = 4;
Mat segment, lbl;
vector<float> centers;
morph.convertTo(segment, CV_32F);
int imsize[] = {segment.rows, segment.cols};
Mat color = segment.reshape(1, segment.rows*segment.cols);
kmeans(color, k, lbl, TermCriteria(CV_TERMCRIT_EPS+CV_TERMCRIT_ITER, 10, 1.0), k, KMEANS_PP_CENTERS, centers);
lbl = lbl.reshape(1, 2, imsize);

// find argmin and argmax to find extreme gray level regions
int minidx = min_element(centers.begin(), centers.end()) - centers.begin();
int maxidx = max_element(centers.begin(), centers.end()) - centers.begin();
// prepare a mask to filter extreme gray level regions
Mat mask = (lbl != minidx) ^ (lbl == maxidx);

// only for display purposes
Mat lbldisp;
lbl.convertTo(lbldisp, CV_8U, 255.0/(k-1));
Mat lblColor;
applyColorMap(lbldisp, lblColor, COLORMAP_JET);
// region of interest
Mat roiColor = Mat::zeros(lblColor.size(), CV_8UC3);
lblColor.copyTo(roiColor, mask);

imshow("opened", morph);
imshow("segmented", lblColor);
imshow("roi", roiColor);
waitKey();
Community
  • 1
  • 1
dhanushka
  • 10,492
  • 2
  • 37
  • 47
  • 1
    I would very much like to know the reasons for any downvotes, so I can improve my answer. – dhanushka Dec 19 '16 at 01:59
  • 2
    I didn't downvote and find your answer actually quite interesting, but the question is completely off-topic for Stack Overflow. This is not a programming question but an image processing research project. Your answer definitely points in the right direction, but answers to off-topic questions are generally poorly received. – dasdingonesin Dec 20 '16 at 13:46
  • 3
    @dasdingonesin Thanks. I just found the question interesting and thought of sharing what I tried. :) – dhanushka Dec 20 '16 at 15:54